Tuesday, May 22, 2012

Another day, another ultrasound

First thing this morning, I headed over to the lab for bloodwork-- estradiol again.  The phlebotomist was great; I didn't feel a thing.

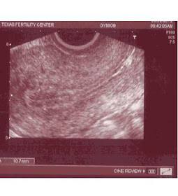
At 9:30, I drove to Texas Fertility for my lining check.  Dr. Hansard did the ultrasound.  I really like her!  This was our second appointment together and she's just no-nonsense and to the point.  She agreed that it's silly to be driving to Houston for lining checks, but what can you do?  She also thinks that the check I had on Friday was inaccurate.  13.1 would be too far along for 2 weeks prior to transfer (her eyes about bugged out of her head when I said 13.1-- she was thinking our cycle was doomed).  She measured my lining at 10.7mm, which she said was much better. 

The visual:

How exciting, right?  Triple stripe pattern and all that jazz.

This afternoon I got this email from Barb:

Lab and ultrasound looks fine …keep on the same meds and  we’ll see you on Monday.
N is looking fine  …will see her back on Friday
So... looks like we're fine for now.  We'll see what Friday and Monday bring.

No comments:

Post a Comment